Post and Core with Fiber Post Treatment in Turkey: Strengthening Your Smile
When a tooth has undergone significant trauma or extensive root canal treatment, there is often very little natural tooth structure remaining to support a dental crown. In these cases, a Post and Core treatment is the essential foundation needed to rebuild the tooth’s strength. At Dental Harmony Turkey, we utilise advanced Fiber Post technology to provide a flexible, durable, and highly aesthetic base for your final restoration.
In this guide, we explain how fiber posts work, why they are superior to traditional metal alternatives, and how this procedure saves teeth that might otherwise require extraction.

What is a Post and Core Treatment?
A Post and Core is a restorative procedure used to provide structural support for a crown.
- The Post: A small, thin rod is inserted into the root canal of a tooth that has already been treated with a root canal (endodontic) procedure.
- The Core: This is the “buildup” material placed around the post, creating a sturdy platform that resembles a natural tooth stump, which the crown can then be securely attached to.
Why We Choose Fiber Posts Over Metal
Traditionally, dental posts were made of stainless steel or gold. However, modern restorative dentistry has moved toward Fiber-Reinforced Composite Posts. At Dental Harmony Turkey, we prefer fiber posts for several clinical reasons:
- Elasticity Similar to Dentin: Metal posts are very rigid, which can cause the root to fracture under heavy chewing pressure. Fiber posts have an “elastic modulus” similar to your natural tooth, meaning they flex slightly with the tooth, significantly reducing the risk of root fractures.
- Superior Aesthetics: Metal posts can sometimes create a dark, greyish shadow beneath a crown, especially near the gum line. Because fiber posts are tooth-coloured or translucent, they are the perfect choice for restorations using E.max or Zirconium, ensuring a bright, natural appearance.
- High Bond Strength: Fiber posts are chemically bonded to the root canal using resin cements. This creates a single, unified structure between the post, the core, and the tooth, providing exceptional stability.
- Corrosion-Free: Unlike metal, fiber posts will never corrode or cause discolouration of the surrounding gum tissue.
Who is a Candidate for a Fiber Post and Core?
This procedure is typically required when more than 50% of the tooth’s original structure is lost. You may need a post and core if:
- Post-Root Canal Restoration: Your tooth is brittle after a root canal and needs internal reinforcement.
- Severe Decay or Fracture: A large portion of the tooth has broken off, leaving insufficient surface area to hold a crown.
- Rebuilding Stability: You are looking for a long-term solution to save a natural tooth rather than opting for a dental implant.
The Procedure at Dental Harmony Turkey
We follow a meticulous protocol to ensure the longevity of your restoration.
Root Preparation Since a post and core can only be performed on a tooth with a successful root canal, we first ensure the canal is healthy and clean. A portion of the root canal filling is carefully removed to create space for the fiber post.
Post Cementation The fiber post is selected to match the width of your canal. It is then treated with a bonding agent and “cemented” into place using a specialised resin. This ensures the post is anchored deep within the root for maximum support.
Core Buildup A high-strength composite material is built up around the protruding end of the post. This material is hardened using a curing light and then shaped by our surgeons to create the ideal foundation for your final crown.
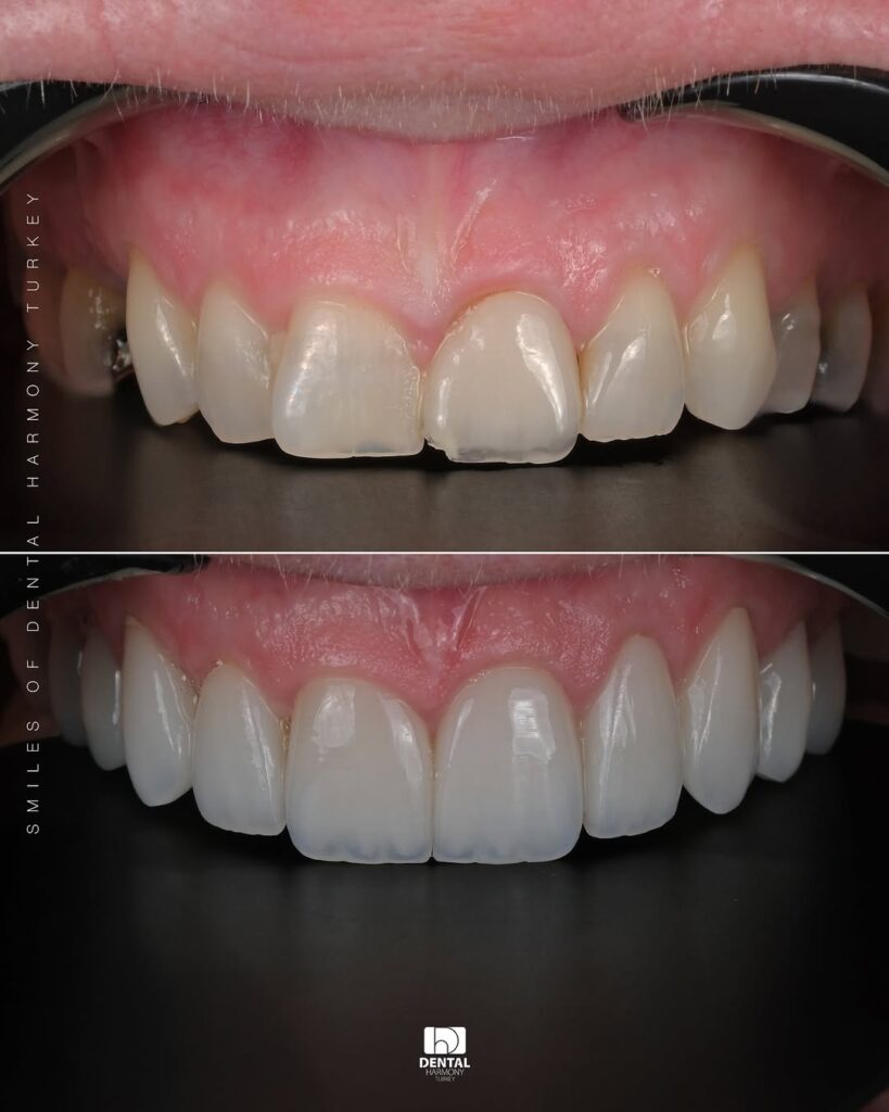
Final Crown Placement Once the core is shaped, we take a digital impression. Your custom-made zirconium or E.max crown is then fabricated and fitted over the core, completing the restoration.
The Benefits of Saving Your Natural Tooth
- Maintains Natural Alignment: Keeping your natural tooth root helps prevent the surrounding teeth from shifting.
- Proprioception: Unlike an implant, a natural tooth root allows you to “feel” the pressure of your bite, providing a more natural chewing experience.
- Cost-Effective: A post and core with a crown is often a more affordable alternative to an extraction and a dental implant.
Why Choose Dental Harmony Turkey?
At Dental Harmony Turkey in Antalya, we focus on conservative dentistry that prioritises the health of your natural teeth
- Advanced Materials: We use high-grade fiber posts that meet the highest international standards for safety and durability.
- Expert Endodontic Care: Our surgeons are highly experienced in complex restorations, ensuring your post is placed with precision.
- Seamless Logistics: We provide a stress-free experience for our UK patients, managing everything from your initial consultation to your airport transfers and accommodation.
Contact us today to discuss how we can save and strengthen your natural smile with our advanced fiber post and core solutions.

