Zirconium Crowns in Turkey: A Complete Guide to Durable Dental Restorations
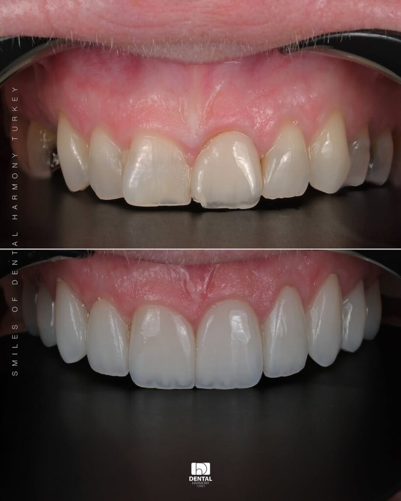
Zirconium crowns have gained immense popularity in modern dentistry due to their exceptional hardness, natural appearance, and biocompatibility. This treatment is the ideal solution for patients requiring a strong yet aesthetically pleasing method to restore damaged, decayed, or discoloured teeth.
A zirconium crown is made from zirconium dioxide, a high-strength ceramic material renowned for durability. Unlike traditional metal-fused crowns, zirconium is translucent—allowing it to mimic the natural light reflection and sheen of real enamel for both front and back teeth.

Advantages of Zirconium Crowns
Choosing zirconium for your dental restoration offers several key benefits:
- Superior Durability: Highly resistant to chipping and cracking, ensuring your investment lasts for years.
- Natural Aesthetics: Blends seamlessly with surrounding teeth, avoiding the dark metal line sometimes seen at the gum line with older crown types.
- Biocompatibility: A tissue-friendly material that significantly reduces the risk of gum irritation or allergic reactions.
- Conservative Preparation: Often requires less tooth reduction than traditional crowns, preserving more of your natural tooth structure.
Who Is a Suitable Candidate for Zirconia Crowns?
Zirconia crowns are highly recommended for patients with:
- Broken or severely decayed teeth.
- Discolouration that cannot be corrected by professional whitening or veneers.
- Metal allergies or sensitivities.
- A need for high-strength restorations on molars to withstand biting forces.
Note: A detailed consultation is recommended to confirm suitability and plan the best restoration approach for your bite and gum health.
The Zirconium Crown Procedure at Dental Harmony Turkey
The process of getting dental crowns in Turkey is efficient and designed to restore both the function and aesthetics of your smile. The treatment typically requires two visits.
Preparation and Assessment
During the first visit, the dentist performs a detailed oral health assessment. The tooth is carefully shaped to ensure the crown fits securely. We use digital scans or traditional impressions to create a 3D model of your mouth for precise bite alignment. A temporary crown is placed to protect the tooth while your custom zirconium crown is fabricated in the laboratory.
Final Fitting and Bonding
Once your custom crown is ready, the temporary one is removed. The dentist checks the fit, colour, and alignment before bonding it permanently using high-grade dental adhesive—creating a secure attachment capable of withstanding daily eating and speaking.
Post-Procedure Guidance
It is normal to experience slight sensitivity to hot or cold temperatures for a few days. To support long-term success, maintain excellent oral hygiene, avoid extremely hard or sticky foods in the initial phase, and attend regular dental check-ups to monitor gum health and crown integrity.
Patient Story
A short real moment from a patient journey.
Video
Watch a real procedure video.
Examples



Transform Your Smile with Dental Harmony Turkey
Rediscover the joy of smiling with Dental Harmony Turkey’s Zirconium Crowns. Based in Antalya, our clinic combines advanced digital technology with personalised care to deliver durable, beautiful results that look and feel like your natural teeth.
Since 2017, Dental Harmony Turkey has prioritised the long-term satisfaction of our international patients. You are never left without support; our coordinators are available via WhatsApp and social media for any post-treatment enquiries.
We understand the needs of international patients and offer full support, including:
- Seamless Communication: Our team speaks your language.
- Travel Coordination: Assistance with airport transfers and accommodation.
- Ongoing Aftercare Guidance: Clear instructions and support even after you return home.
Contact us today to take the first step toward your healthier, stronger smile.

Your Cosmetic Treatment Schedule – Step-by-Step Timeline at Dental Harmony Turkey
Your treatment is carefully planned to deliver a natural-looking smile in a short, predictable timeframe — ideal for UK dental tourism patients. Below is your step-by-step schedule:
Day 1 – Consultation, Digital Planning & Tooth Preparation
Your journey begins with a comprehensive dental consultation.
✔ Digital X-rays and 3D intraoral scans
✔ Full oral health assessment
✔ Smile design planning with our cosmetic dentists
✔ Shade and shape selection
After the consultation, we proceed with natural tooth preparation, which typically takes 2–2.5 hours.
Later the same day, temporary teeth (provisional veneers/crowns) are placed to:
• Protect your prepared teeth
• Maintain comfort and function
• Allow you to smile confidently during your stay
⏱ Total clinic time: approximately 3–4 hours
Day 2 – Smile Mock-Up & Design Trial
This is one of the most exciting parts of the process.
You will try a mock-up of your final smile design, placed directly in your mouth so you can preview the expected result before production begins.
✔ See the shape, length, and alignment
✔ Request any adjustments
✔ Ensure full satisfaction
This step helps us eliminate surprises and guarantee natural-looking results.
⏱ Clinic time: 30–45 minutes
Days 3–4 – Free Time or Additional Treatments (If Needed)
You can relax and enjoy your stay in Turkey.
If required, we may complete additional dental treatments, such as:
• Root canal treatment
• Gum contouring
• Minor restorative procedures
Otherwise, these days are free for sightseeing and recovery.
Day 5 – Permanent Veneers/Crowns Fitting
Your custom porcelain veneers or crowns are ready.
During this appointment:
✔ Final fitting and placement
✔ Bite and comfort check
✔ Aesthetic refinements
✔ Professional polishing
We ensure perfect alignment, function, and a natural smile.
⏱ Clinic time: 2–3 hours
Day 6 – Final Check & Aftercare
Before you travel home, we conduct a final review.
✔ Fit and bite evaluation
✔ Comfort check
✔ Oral hygiene guidance
✔ Aftercare instructions
This ensures long-term success and durability of your new smile.
⏱ Clinic time: 30 minutes
Why Choose Dental Harmony Turkey for Cosmetic Dentistry?
• Experienced cosmetic dentists
• Advanced digital smile design technology
• Fast treatment completion (5–6 days)
• High-quality materials
• Affordable prices compared to the UK
• Ideal for dental tourism patients
Zirconium Crown Aftercare: Protecting Your High-Strength Smile
At Dental Harmony Turkey, we use premium Zirconium materials for their strength and natural finish. While Zirconium is highly durable, the underlying tooth and surrounding gums depend on your aftercare routine.
The Initial Transition: First 48 Hours
- Soft Food Phase: Stick to softer foods. Avoid sticky or extremely hard foods while the cement stabilises.
- Managing Sensitivity: Mild hot/cold sensitivity is normal and temporary.
- Gum Health: Slight redness may occur. Rinse gently with warm salt water.
Daily Maintenance for Lifetime Success
- Precision Brushing: Use a soft-bristled toothbrush and non-abrasive fluoride toothpaste.
- Effective Flossing: Slide floss out sideways rather than pulling upward.
- Alcohol-Free Rinses: Use non-alcoholic fluoride mouthwash.
Functional Habits and Protection
- Avoid Using Teeth as Tools: Do not open packaging or bite nails.
- Nightguard Compliance: Essential for patients with grinding history.
- Professional UK Check-ups: Inform your dentist about Zirconium restorations.
Your Boutique Support Network: Our coordinators remain available via WhatsApp and social media for post-treatment enquiries.
